
First-class dental care
tailored to you
Our dental clinic is located in Budapest’s 5th district, right next to Jászai Mari Square. It is easily accessible both by car and public transport.



Our dental clinic is located in Budapest’s 5th district, right next to Jászai Mari Square. It is easily accessible both by car and public transport.




Premium quality, pain-free treatments

Expertise and experience

Comprehensive dental care

Modern technical background

Comfortable environment

Attentiveness
Diagnostics
Cosmetic dentistry
Teeth whitening
Scaling & polishing
Orthodontics
Fillings
Pediatric dentistry
Root canal treatment
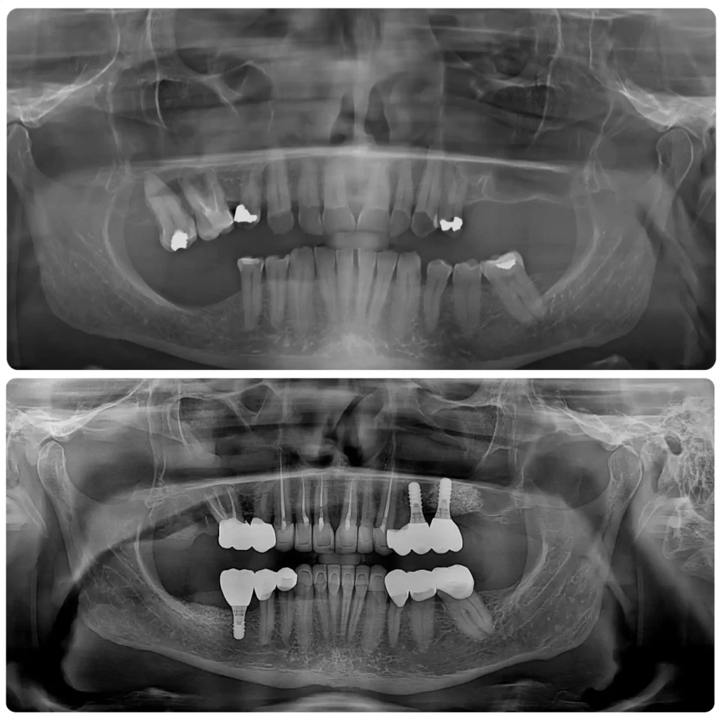
Implantology
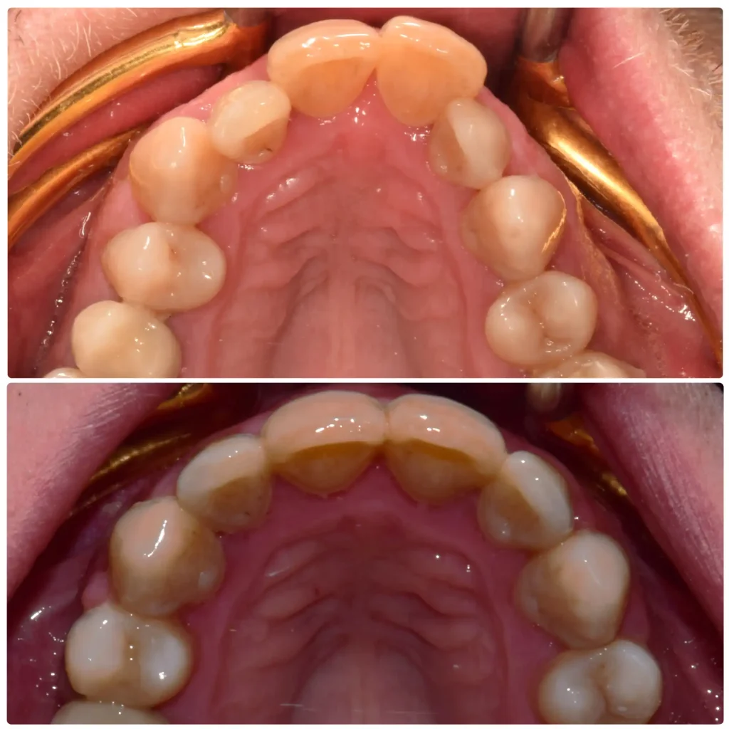
Crowns and bridges
Microscopic root canal treatment
Periodontology
Oral surgery






High-precision, microscope-assisted therapy to save teeth with maximum accuracy.


Diagnostics
Cosmetic dentistry
Teeth whitening
Scaling & polishing
Orthodontics
Fillings
Pediatric dentistry
Root canal treatment
Implantology
Crowns and bridges
Microscopic root canal treatment
Periodontology
Oral surgery


Lead Dentist

Dentist

Head Dental Assistant, Dental Hygienist
Diagnostics
Cosmetic dentistry
Teeth whitening
Scaling & polishing
Orthodontics
Fillings
Pediatric dentistry
Root canal treatment
Implantology
Crowns and bridges
Microscopic root canal treatment
Periodontology
Oral surgery








