Specialist in Orthodontics

Dr. Mohammad Davami
As a child, I was very afraid of the dentist, and at a state hospital I even had to undergo dental treatment under gas sedation. This experience inspired me to help those who fear dental visits, so that their teeth can remain healthy and dental problems can be prevented before they even begin.
My favorite saying is: “Prevention is better than cure.”
I grew up in Esfahan, Iran. I studied general dentistry at Semmelweis University and completed my postgraduate training at the Department of Paediatric Dentistry and Orthodontics at Semmelweis University.
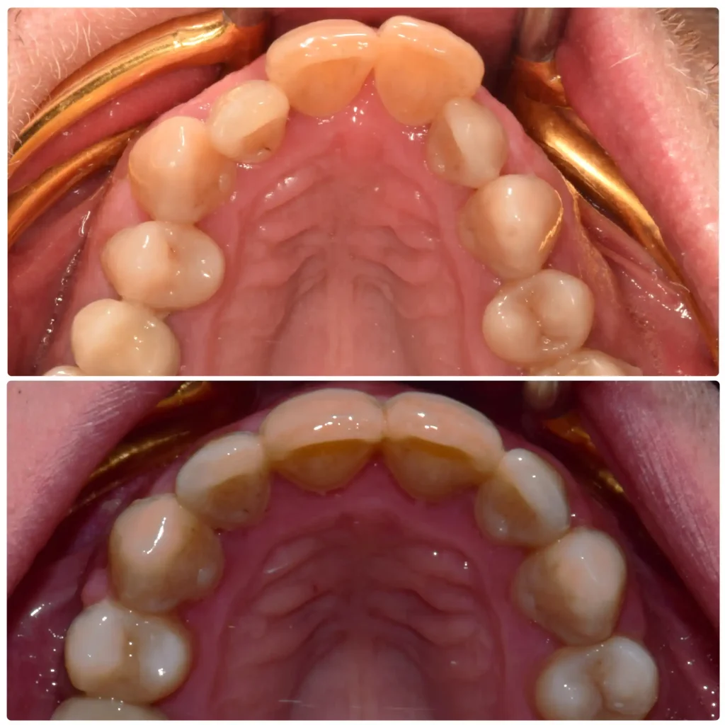
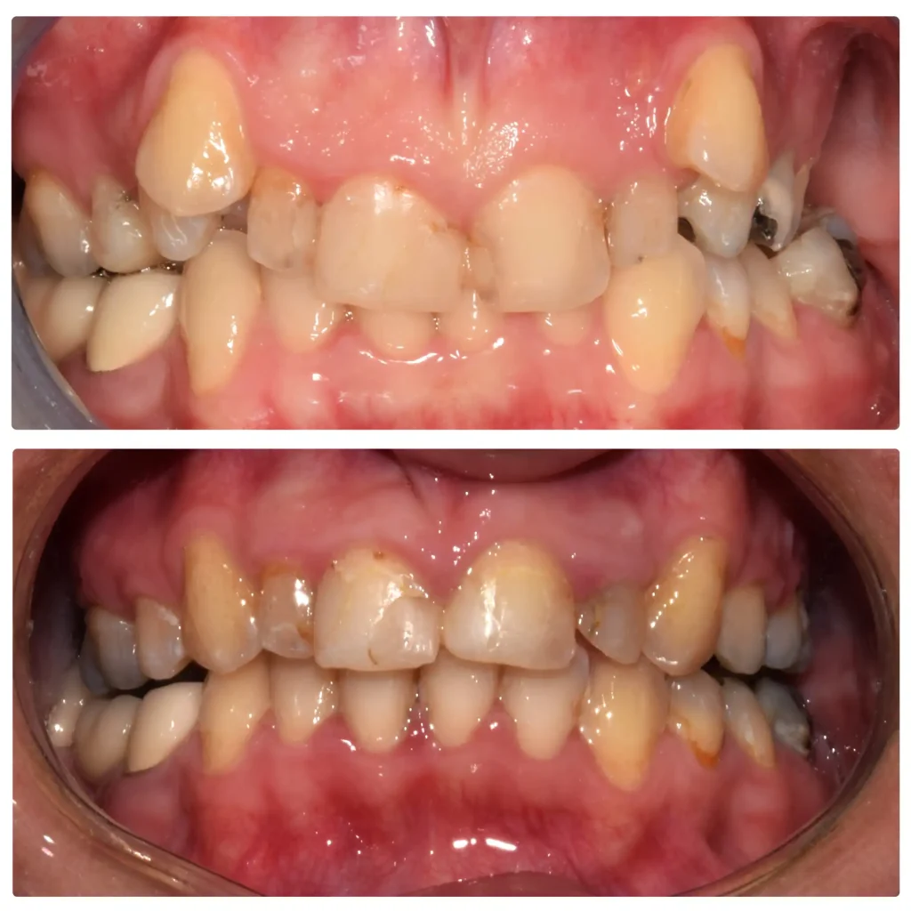
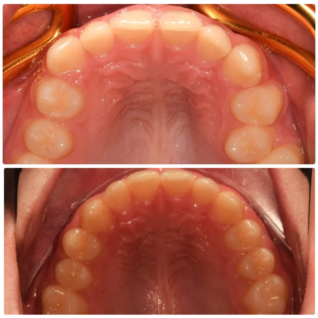
I enjoy keeping up with current research. Specializing in the treatment of all types of orthodontic irregularities, I provide high-quality orthodontic care using the most advanced techniques available.
I speak Hungarian, English, and Persian.



