Lead Dentist

Dr. Foad Haghighat
Lead Dentist
I graduated as a general dentist from Semmelweis University. I consider it essential that patients receive the most modern and highest-quality care possible, which is why I perform most treatments under magnification.
I continuously advance my professional knowledge by attending both international and domestic courses and conferences. My main fields of interest are root canal therapy and regenerative surgical procedures.
My goal is to ensure that patients feel calm and reassured during treatment, knowing they are in good hands, and that years later they remain free of complaints regarding the teeth I have treated.
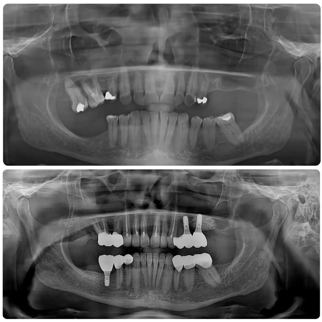
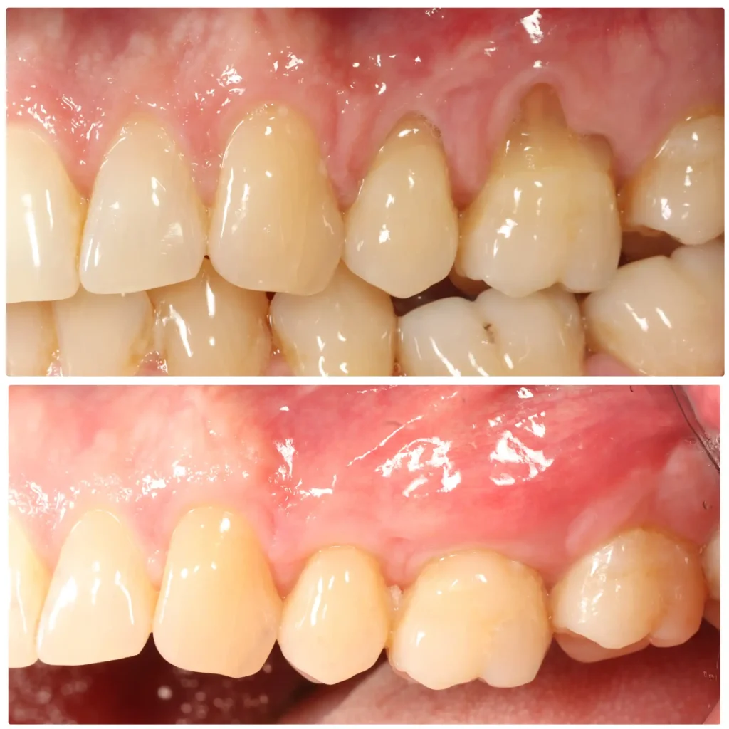
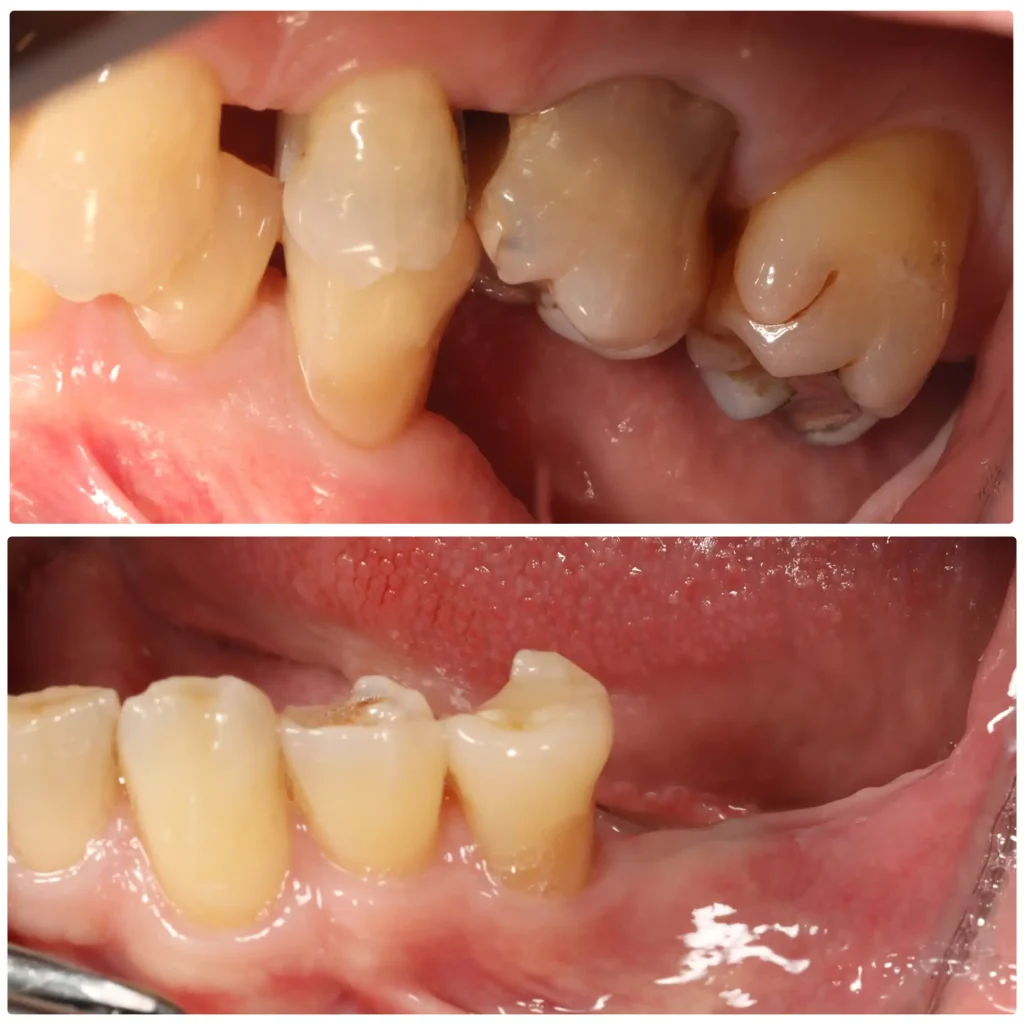
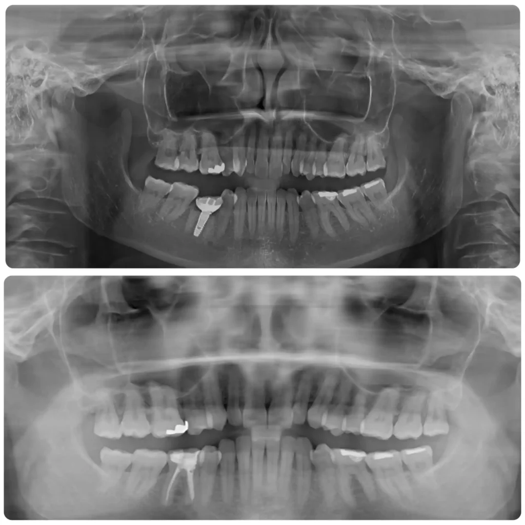
Case studies
Participation in Courses and Conferences:
- Theoretical and Practical Course on the Execution of Nature-like Composite Restorations – Dr. Zsolt Döbrentey
- 9-Day Regenerator Program – Dr. Istvan Urban, Urban Regeneration Institute
- Periodontology II – Dr. Attila Horváth
- Biomimetic Mastership – Dr. David Alleman, Dr. Davey Alleman, Alleman Center of Biomimetic Dentistry
- Challenges and Perspectives in Peri-implant Soft Tissue Reconstruction – hands-on course, Dr. Otto Zuhr, Munich
- Perspectives in Peri-Implantology and Comprehensive Dentistry – Conference, Szeged
- From Periodontal Regeneration to Tooth Extraction for Periodontal Reasons: The Nightmare of Peri-implant Papilla – Professor Giovanni Zucchelli, Bologna
- Immediate Dentoalveolar Restoration – 4-Day IDR Hands-On Course, Dr. Jose Carlos Martins da Rosa
- Soft Tissue Management Around Implants – Post-Symposium Workshop, Professor Giovanni Zucchelli
- Perspectives on Vertical and Horizontal Augmentation – Post-Symposium Workshop, Dr. Istvan Urban
- 3rd Urban International Hard and Soft Tissue Regeneration Symposium
- The Six Lessons Approach to Biomimetic Dentistry – Dr. David Alleman, Dr. Davey Alleman, Dr. András Forster
- Guided Biofilm Therapy with EMS Device – Dr. Róbert Kemper, Dr. Edit Komarek
- Immediate Loading: State of the Art – Dr. Tisiano Testori
- Biomimetic Posterior Course – Dr. András Forster
- TMD and Bite Analysis – Dr. Tamás Kovács
- Soft Tissue Management Around Teeth and Implants – Professor Giovanni Zucchelli, Bologna
- Management of Separated Instruments in Endodontic Treatment – Dr. Kitti Kovács
- Essential Lines Course – Style Italiano, Dr. Giuseppe Chiodera
- AIC Implantology Course
- Preparation Techniques Based on Biomechanical Principles I – Anterior – Dr. János Grosz
- Aesthetic and Functional Periodontal Plastic Surgery Procedures – Dr. Róbert Kemper, Dr. Tamás Chikány, Dr. Ádám Gálmiklós
- Prosthetic Planning and Impression Taking with the Alpha-Bio Tec. Implant System – Dr. Máté Jász
- Zucchelli Channel – Professor Giovanni Zucchelli
- Partial Extraction Therapy and the “Dual Zone” Prosthetic Concept – Dr. Attila Bodrogi
- Dental World 2021 Conference
- Planning and Execution of Complex Prosthodontic Rehabilitations – Dr. János Grosz
- Journey to the Root Apex – Theoretical and Practical Endodontic Course, Basic and Intermediate Levels – Dr. Gergely Benyőcs
- All About Ceramic Veneers – Dr. János Grosz
- Complicated Implantations – Dr. Róbert Kemper
- Prosthetic Options in Implantology – Dr. Ádám Gálmiklós
- Basics and Steps of Implantology – Dr. Tamás Chikány
- Complete Guide in Veneer Preps – All Types – Dr. Maxim Belograd
- Advanced Implantology Masterclass 2021 – Dental Leaders
- World Endodontic Summit 2021 – Conference
- Modern Instrumentation and Obturation Techniques in Endodontics – Dr. Péter Komora
- Post-Extraction Implants – Osteocom, Luca Gobbato, Fabio Mazzocco, Gianluca Paniz
- Endo Channel – Osteocom, Gianluca Plotino
- Wisdom Teeth Extraction – Osteocom, Jason Motta Jones
- Suturing and Flap Formation Techniques – Dr. Árpád Joób-Fancsaly, Dr. György Göndöcs
- Dental World Digital XX Conference



